
间充质干细胞(MSC)是属于中胚层的一类多能干细胞,主要存在于结缔组织和器官间质中,以骨髓组织中含量最为丰富,由于骨髓是其主要来源,因此统称为骨髓间充质干细胞。
铂晋生物提供的间充质干细胞取自骨髓,配合我司研发的专用诱导分化培养基培养,可定向分化成软骨、骨、脂肪细胞等,且诱导分化效果显著。
本产品仅用于科研用途,不可用于诊断、治疗、临床及其它用途。
一、鉴定项目
|
货 号
|
BGM-2501
|
|
批 号
|
0325WBL02
|
|
检测项目
|
检测结果
|
检测标准
|
结论
|
|
常规检测
|
细菌、真菌
|
阴性
|
阴性
|
合格
|
|
支原体
|
阴性
|
阴性
|
合格
|
|
内毒素
|
≤10EU
|
≤10EU
|
合格
|
|
外源病毒
|
HIV
|
阴性
|
阴性
|
合格
|
|
HBV
|
阴性
|
阴性
|
合格
|
|
HCV
|
阴性
|
阴性
|
合格
|
|
梅毒
|
阴性
|
阴性
|
合格
|
|
鉴定检测
|
生长状态
|
正常
|
形态为长梭形,呈极性排列;群体倍增时间≤72h
|
合格
|
|
分化能力
|
经定向诱导后,茜素红、阿利新蓝、油红O呈阳性
|
经定向诱导,可分化为成骨细胞、软骨细胞、脂肪细胞
|
合格
|
|
表面标记
|
CD44
|
99.86%
|
≥70.0%
|
合格
|
|
CD29
|
99.95%
|
≥70.0%
|
合格
|
|
CD106
|
92.21%
|
≥70.0%
|
合格
|
|
CD11b
|
0.89%
|
≤5%
|
合格
|
|
CD117
|
0.34%
|
≤5%
|
合格
|
|
CD45
|
2.31%
|
≤5%
|
合格
|
二、细胞生长状态
|

p12-1d-40x
|

p12-1d-100x
|
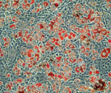
三、诱导分化能力鉴定
(1)成脂诱导分化
|

16d-100x
|

16d-200x
|
(2)成骨诱导分化
|

21d-100x
|

21d-200x
|
(3)成软骨诱导分化
|

26d-200x
|

26d-400x
|
四、流式鉴定



产品鉴定报告(以C57 MSC为例):/uploads/files/C57 MSC质检报告-铂晋生物.pdf
声明:以上所有图片均为铂晋生物实拍图,如需转载引用请标注说明。
五、订购指南
广州铂晋生物科技有限公司
E-mail:info@bgsciences.net
Tel:020-84781679
公司地址:广州市黄埔区护林路1477号铂晋生物